Home Contato
Agendar consulta

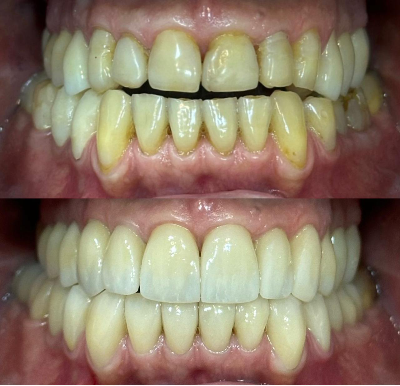
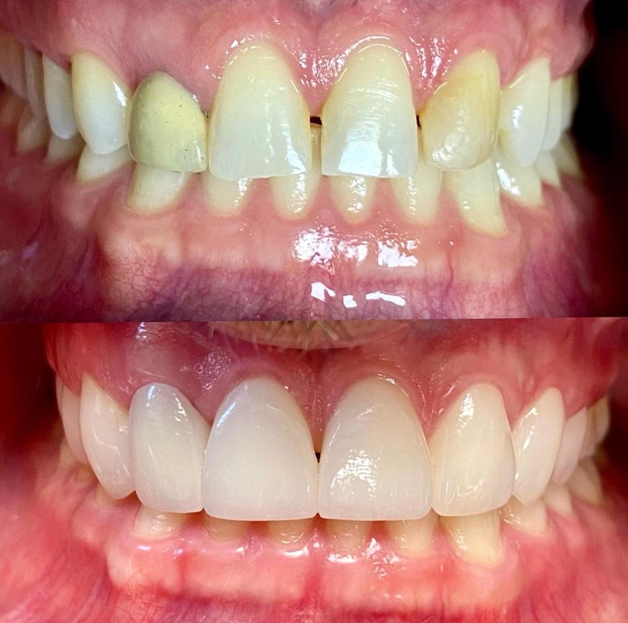
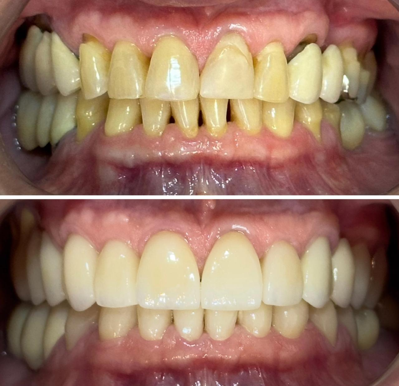
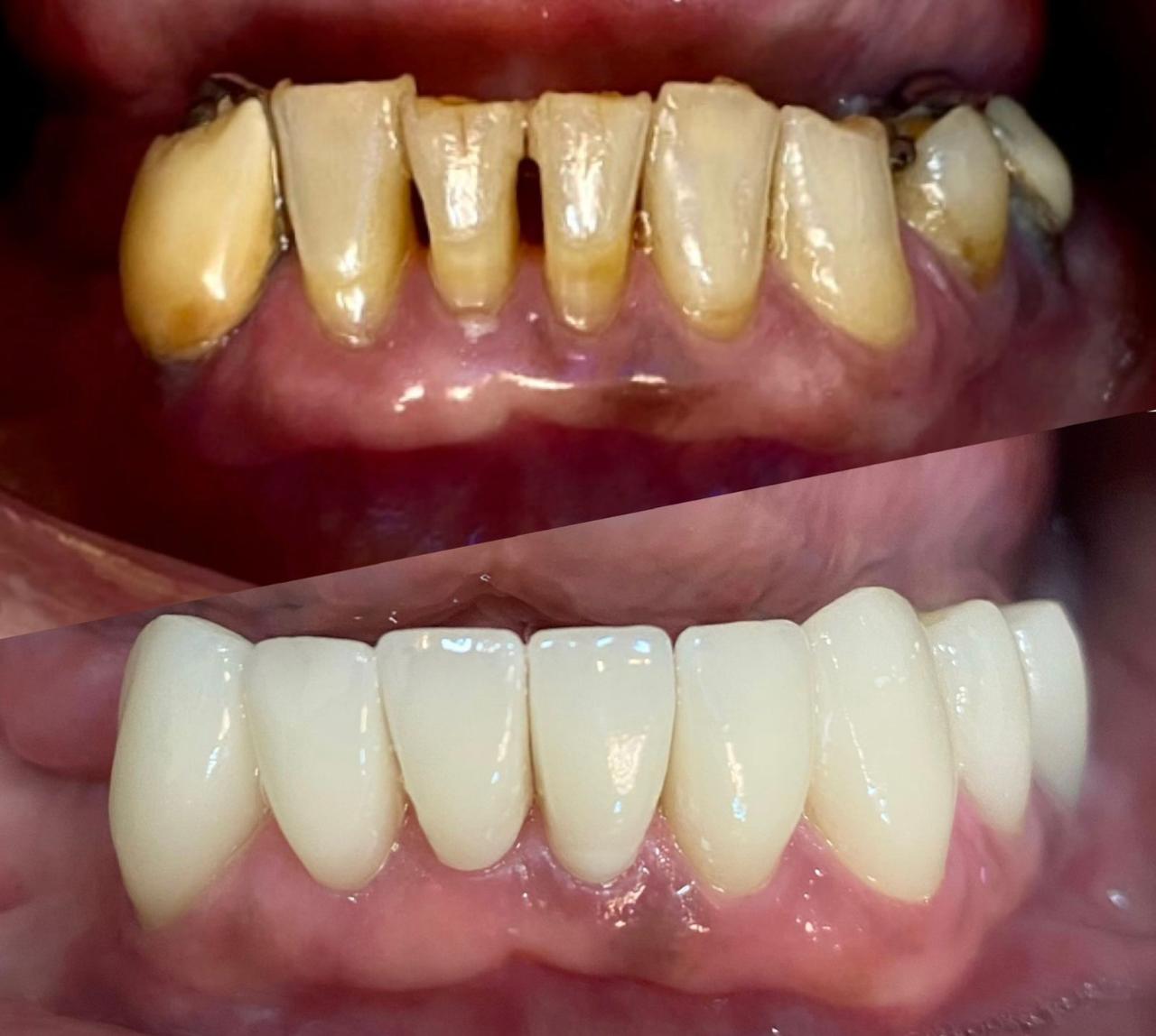
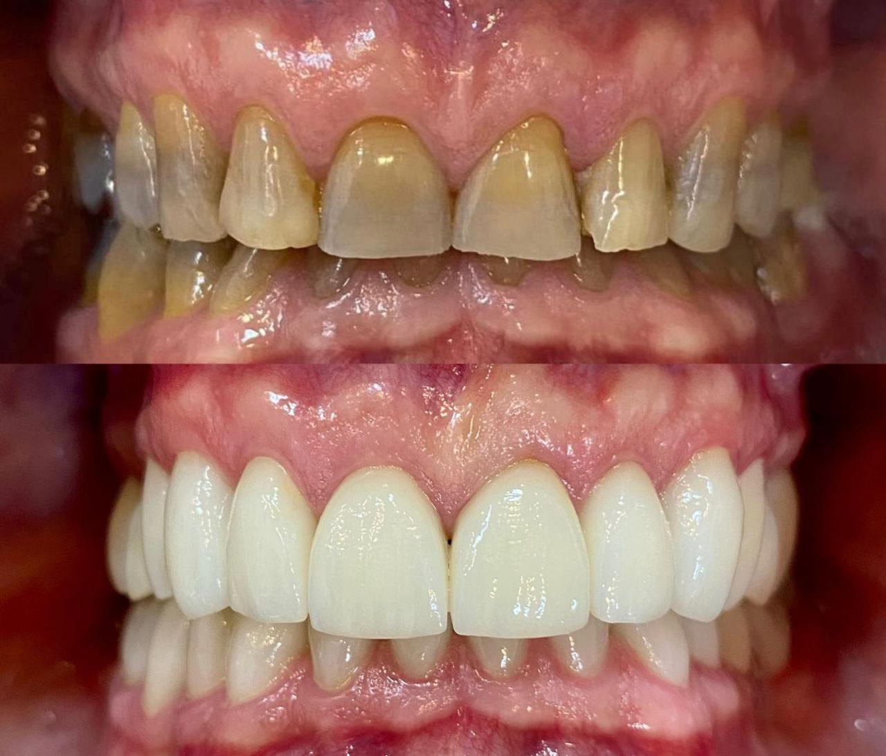
Coroa de Porcelana

⮕ Coroa Dentária
A coroa dentária é uma peça protética que envolve completamente um dente danificado, restaurando sua função, resistência e estética. Indicada para casos de dentes quebrados, desgastados ou após tratamentos de canal, ela oferece um acabamento natural e durável.

WhatsApp Image 2025-07-22 at 17.09.21 (6)
previous arrow
next arrow

Pertinho de você

Rua Rubens Metello 46, sala 903

Ibiapaba - Barbacena/MG | CEP: 36200-021


E-mail: contato@mavihodontologia.com.br

Tel: (32) 9 9977-4000

Instagram: @mavihodontologia

Contato